| インプラントの症例 | 審美歯科の症例 |
奥歯が無いので咬めない
下顎奥歯に5本のインプラント埋入
上顎総義歯が動いてよく噛めない
上顎インプラント6本によるフルブリッジ
上顎の総入れ歯が咬みずらい
上顎インプラント7本によるブリッジ
上顎の前歯が揺れて噛めない
上顎7本によるブリッジ
右上奥歯が無いので、物が食べにくい
右上顎にインプラント3本
上の歯が揺れる。物が咬めない
インプラント7本によるブリッジ
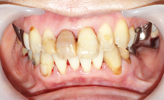
治療前
インプラント4本にて補綴
前歯が気になる。奥歯で噛めないとの主訴
前歯部は、上顎セラミック補綴と下顎部分矯正 臼歯部は、インプンラト治療
治療内容 前歯部は、上顎セラミック補綴 臼歯部は、インプンラト治療
上顎前歯部のセラミック治療
銀歯を治したい
セラミックによる歯冠補綴
バネの入れ歯